What's new

Annotating areas

Marking an area on a slide is useful for pointing out an interesting feature, indicating tissue for DNA extraction or training artificial intelligence algorithms. From today, you can annotate slides in Slide Score with easy to use tools.

When designing a scoring sheet you can add a possibility for the graders to mark areas on the slide. Just click the "Annotate areas" question type to add it to your scoring sheet. You can edit the question's details - question text or color of the shapes.

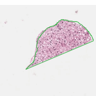
To start annotating click the Start button in a question that requires annotating areas. You can draw polygons/free shapes, ellipses and rectangles during scoring. Polygons are most useful for precisely outlining features in the tissue. Click on the slide to add a starting point of the polygon and then add corners of the polygon by clicking or drag to outline a precise shape. You can combine the two. Press Enter click the starting point when done - this will close the polygon.

How to mark a polygon

Marking a rectangular or circular area is easy - select the appropriate tool and click and drag on the slide. Size of the area of the shape is displayed as you draw it.

How to mark a rectangle

When drawing with a pencil you have an eraser - in Slide Score you can correct any mistakes by selecting the Edit shape tool and clicking the (finished) shape to correct. This will create a few gray rectangles that you can drag to change the shape. For ellipses and rectangles it works in a straightforward way. Polygons can be composed of thousands of points so Slide Score shows a reasonable amount depending on the zoom. When you drag a rectangle that's part of a polygon the surrounding points on the polygon move naturally with it. When you need more precision, zoom in and you will get more rectangles to drag. Square area of the shape is displayed when dragging so that you can resize it precisely to 2 square millimeters or any other size.

How to edit a polygon

No matter the tool you've selected you can always drag any shape around and right click it to remove it. And of course all this stuff also works on a tablet or mobile phone.

Remember that annotations are "answers" so you can use the review tools to share them with colleagues. When exporting as results annotations look like list of points (in image pixel coordinates).

Try it out: annotating areas demo

We will work on improving annotations further with possibility to add remarks and more. Let us know what you're missing.